2018年(第64回)

ID 2018055  

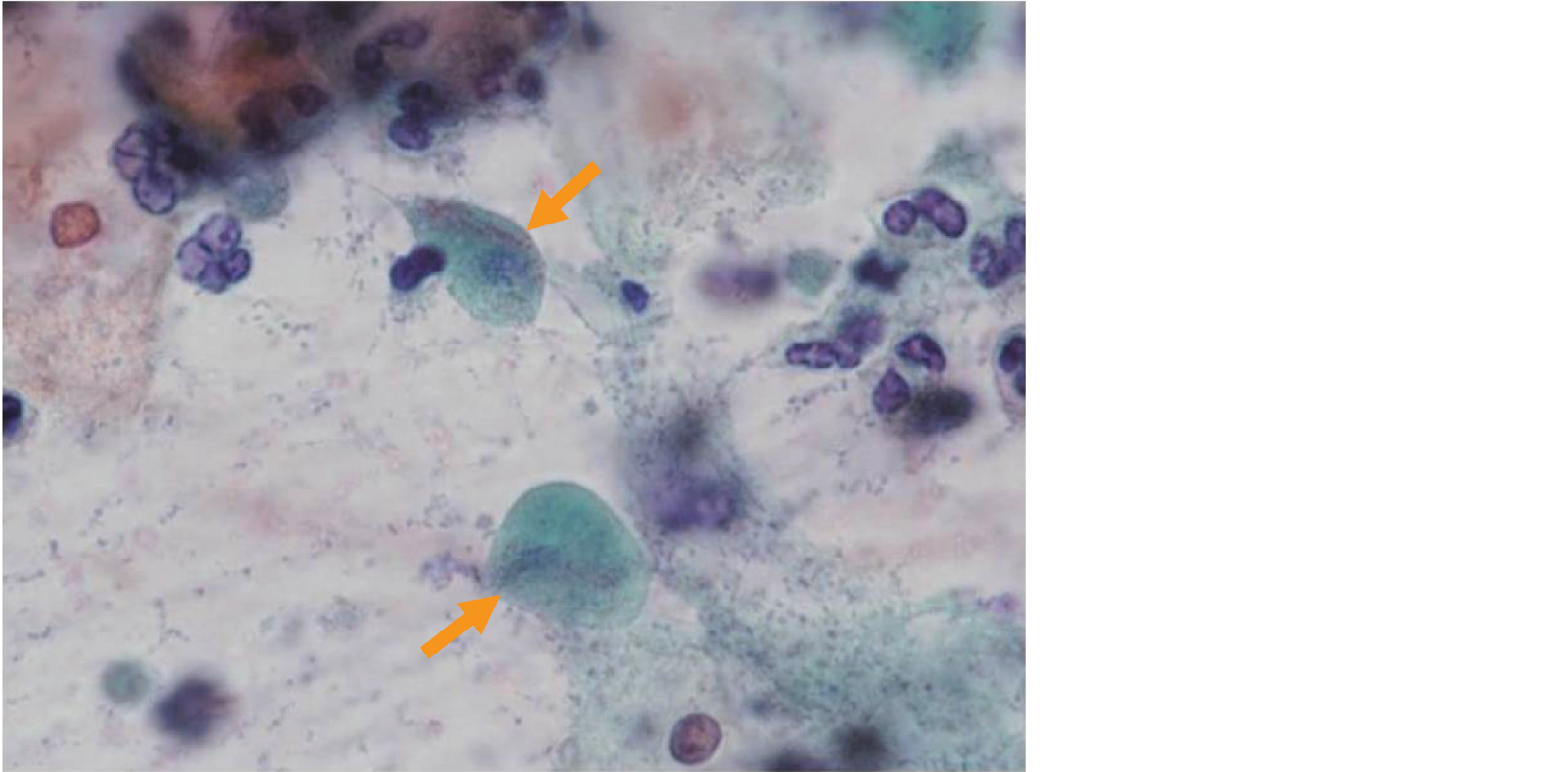
子宮頸部擦過細胞診のPapanicolaou染色標本を示す。
矢印で示すのはどれか。

  • 1. カンジダ
  • 2. クラミジア
  • 3. トリコモナス
  • 4. クリプトコッカス
  • 5. サイトメガロウイルス
Copyright© KANEHARA & Co., LTD. All Rights Reserved.