2018年(第64回)

ID 2018126  

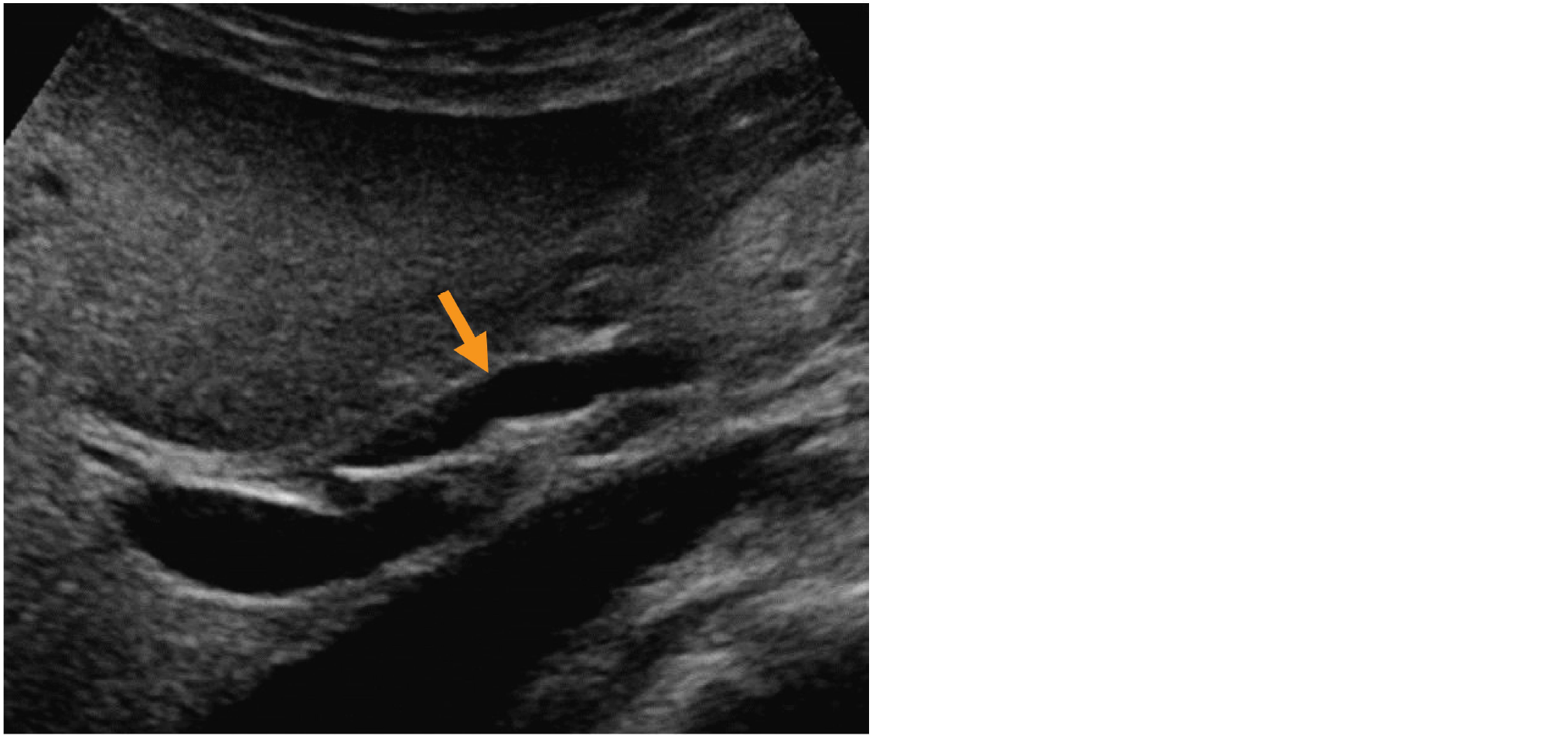
右上腹部走査による超音波B モード像を示す。
矢印で示すのはどれか。

  • 1. 門 脈
  • 2. 肝静脈
  • 3. 肝動脈
  • 4. 主膵管
  • 5. 総胆管
Copyright© KANEHARA & Co., LTD. All Rights Reserved.