さん
MyPage
ログアウト
使い方ガイド
共通資料
マイページ
金原出版オンライントップ
ログアウト
購入
臨検国試onlineトップへ
出題年別トップへ
一覧へ戻る
2018年(第64回)
ID 2018157
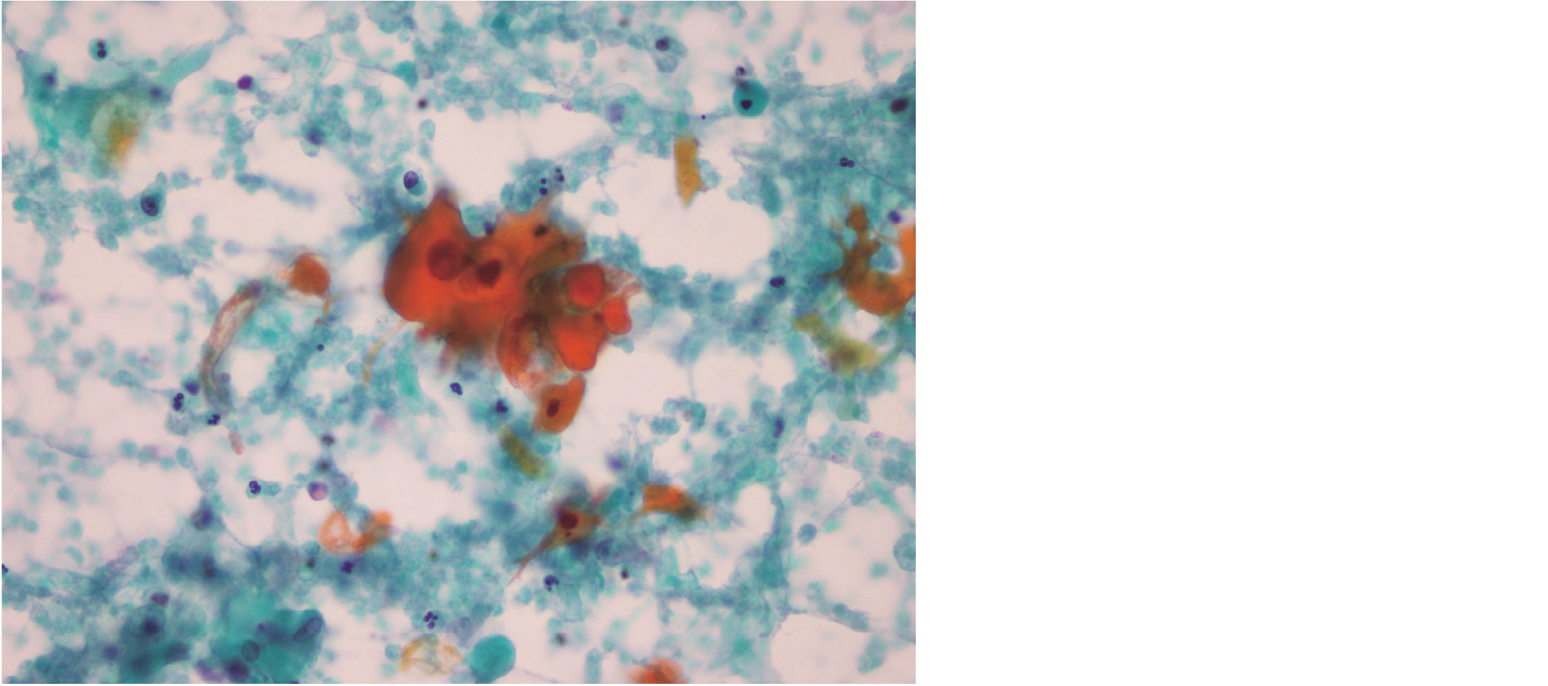
頸部リンパ節穿刺吸引細胞診のPapanicolaou 染色標本を示す。考えられるのはどれか。
1. 腺 癌
2. 小細胞癌
3. 脂肪肉腫
4. 扁平上皮癌
5. 悪性リンパ腫
前へ
解答を見る
次へ