さん
MyPage
ログアウト
使い方ガイド
共通資料
マイページ
金原出版オンライントップ
ログアウト
購入
臨検国試onlineトップへ
出題年別トップへ
一覧へ戻る
2018年(第64回)
ID 2018164
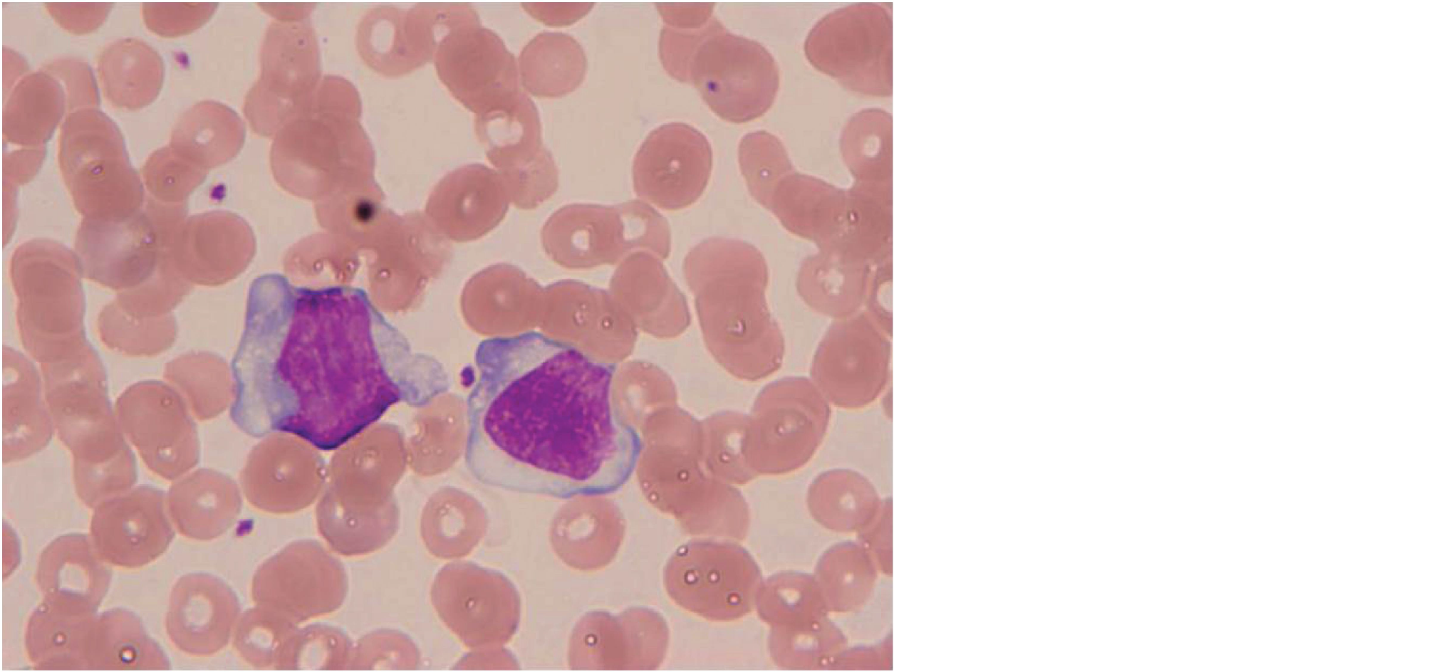
17歳の女性。発熱と頸部リンパ節腫脹を主訴に来院した。血液検査では末梢血のリンパ球が著しく増加していた。末梢血のMay-Giemsa 染色標本を示す。
考えられるのはどれか。
1. ホジキン〈Hodgkin〉リンパ腫
2. 有毛細胞白血病
3. 血球貪食症候群
4. 伝染性単核球症
5. 多発性骨髄腫
前へ
解答を見る
次へ