さん
MyPage
ログアウト
使い方ガイド
共通資料
マイページ
金原出版オンライントップ
ログアウト
購入
臨検国試onlineトップへ
出題年別トップへ
一覧へ戻る
2018年(第64回)
ID 2018177
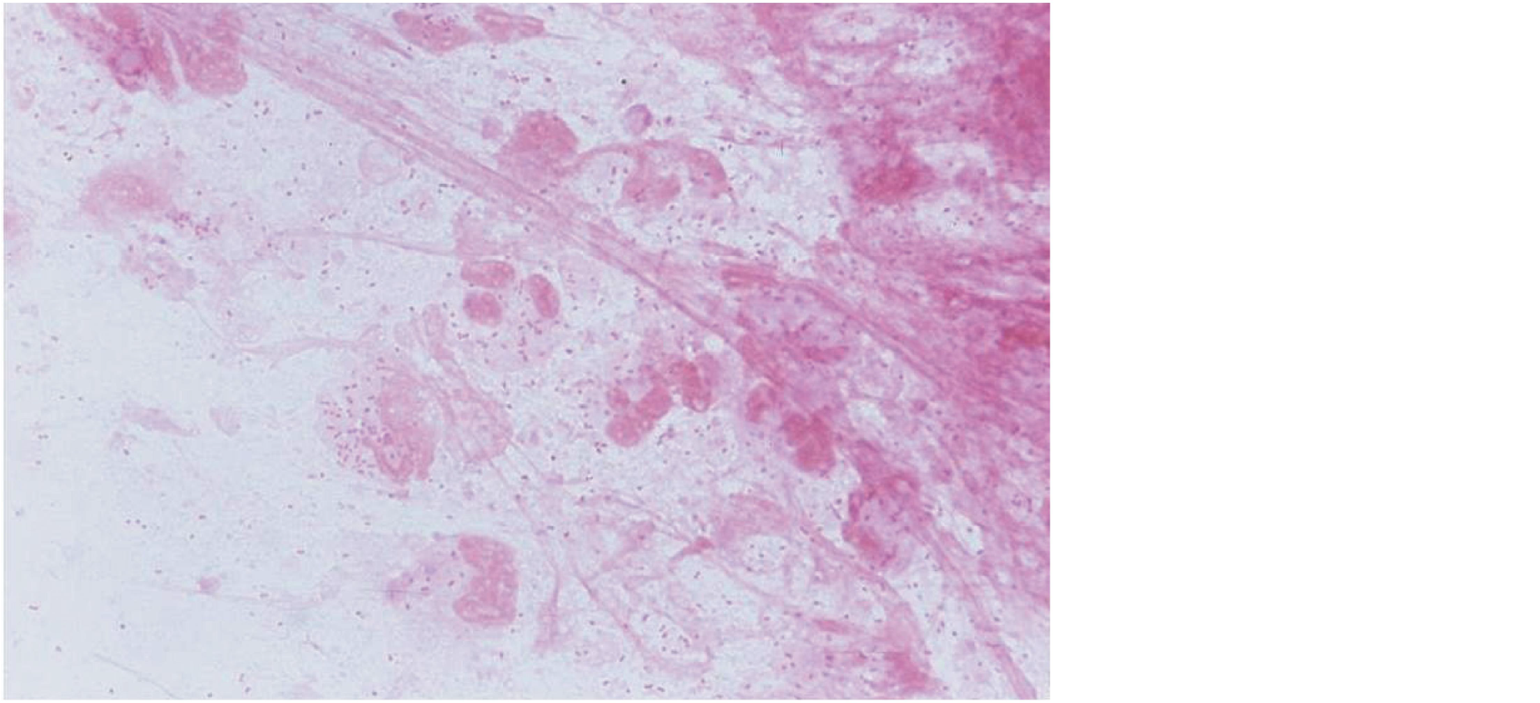
膿性痰のGram 染色〈Huckerの変法〉標本を示す。分離菌はチョコレート寒天培地に発育したが,5%ヒツジ血液寒天培地およびBTB 乳糖寒天培地には発育しなかった。
推定される菌種はどれか。
1.
Acinetobacter baumannii
2.
Haemophilus influenzae
3.
Klebsiella pneumoniae
4.
Pasteurella multocida
5.
Pseudomonas aeruginosa
前へ
解答を見る
次へ