さん
MyPage
ログアウト
使い方ガイド
共通資料
マイページ
金原出版オンライントップ
ログアウト
購入
臨検国試onlineトップへ
出題年別トップへ
一覧へ戻る
2019年(第65回)
ID 2019072
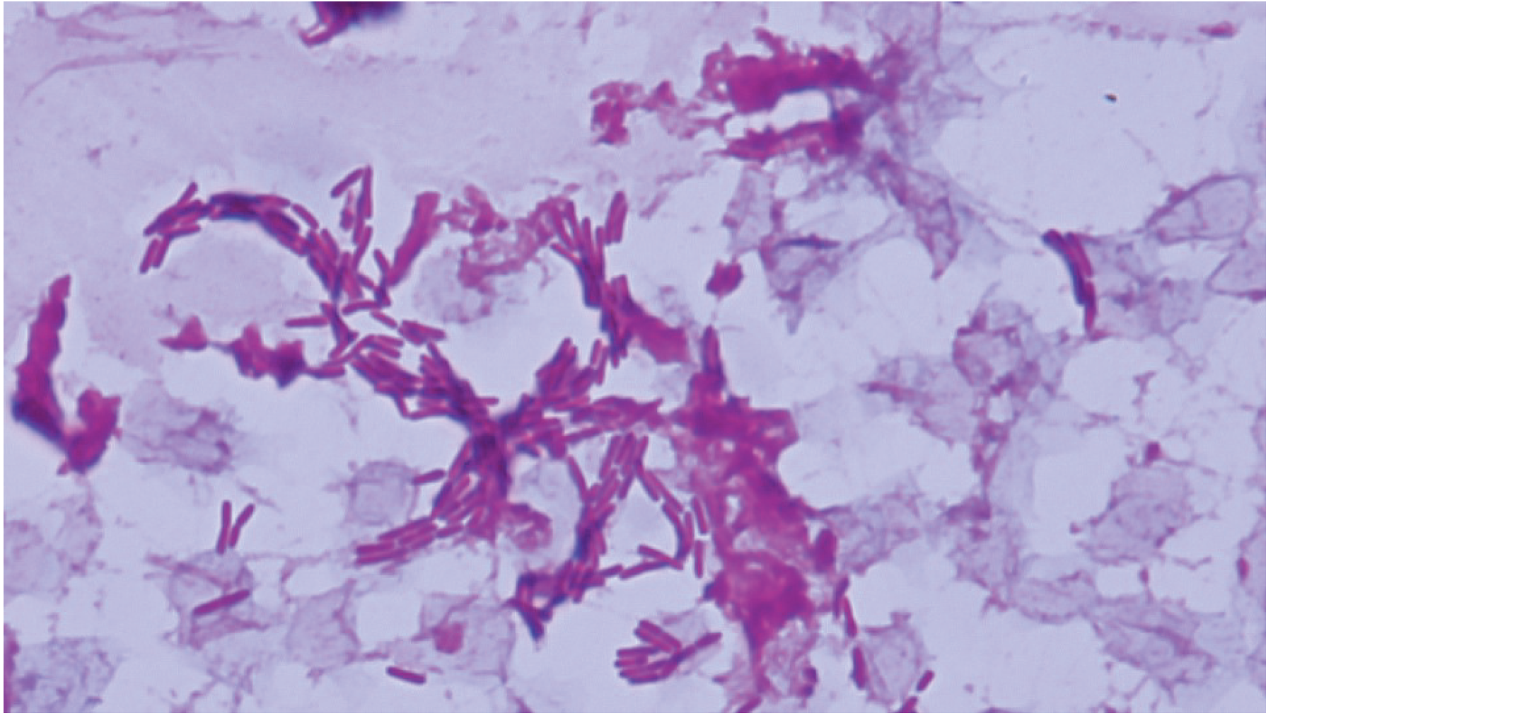
血液培養検査で培養陽性になった好気ボトル内容液のGram染色標本を示す。嫌気ボトルは培養陰性であった。分離菌はオキシダーゼテスト陽性であった。
推定されるのはどれか。
1.
Acinetobacter baumannii
2.
Escherichia coli
3.
Haemophilus influenzae
4.
Klebsiella pneumoniae
5.
Pseudomonas aeruginosa
前へ
解答を見る
次へ