さん
MyPage
ログアウト
使い方ガイド
共通資料
マイページ
金原出版オンライントップ
ログアウト
購入
臨検国試onlineトップへ
出題年別トップへ
一覧へ戻る
2019年(第65回)
ID 2019150
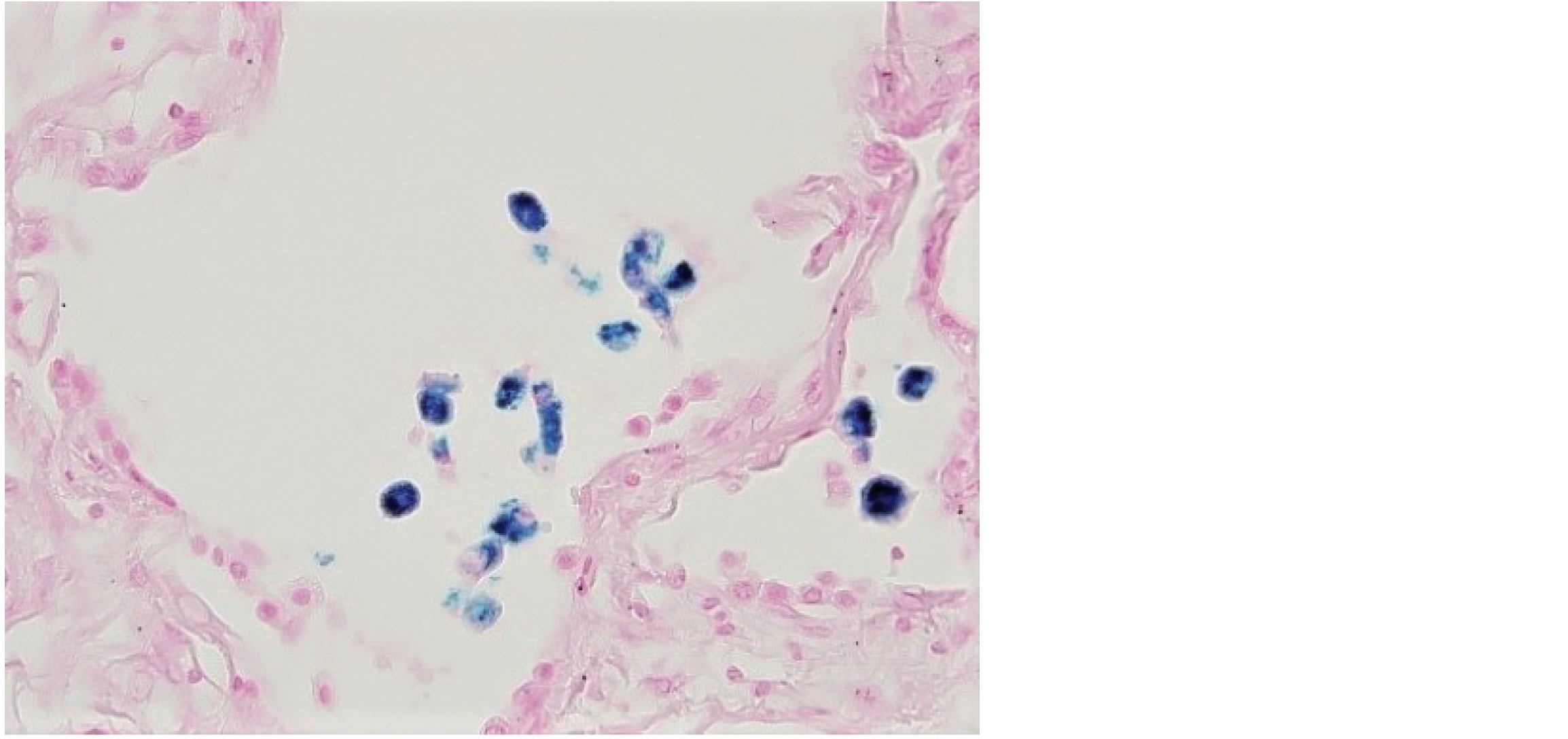
左心不全症例の肺の特殊染色標本を示す。
染色法はどれか。
1. Alcian blue染色
2. Berlin blue染色
3. methylene blue染色
4. Nile blue染色
5. toluidine blue染色
前へ
解答を見る
次へ