さん
MyPage
ログアウト
使い方ガイド
共通資料
マイページ
金原出版オンライントップ
ログアウト
購入
臨検国試onlineトップへ
出題年別トップへ
一覧へ戻る
2019年(第65回)
ID 2019172
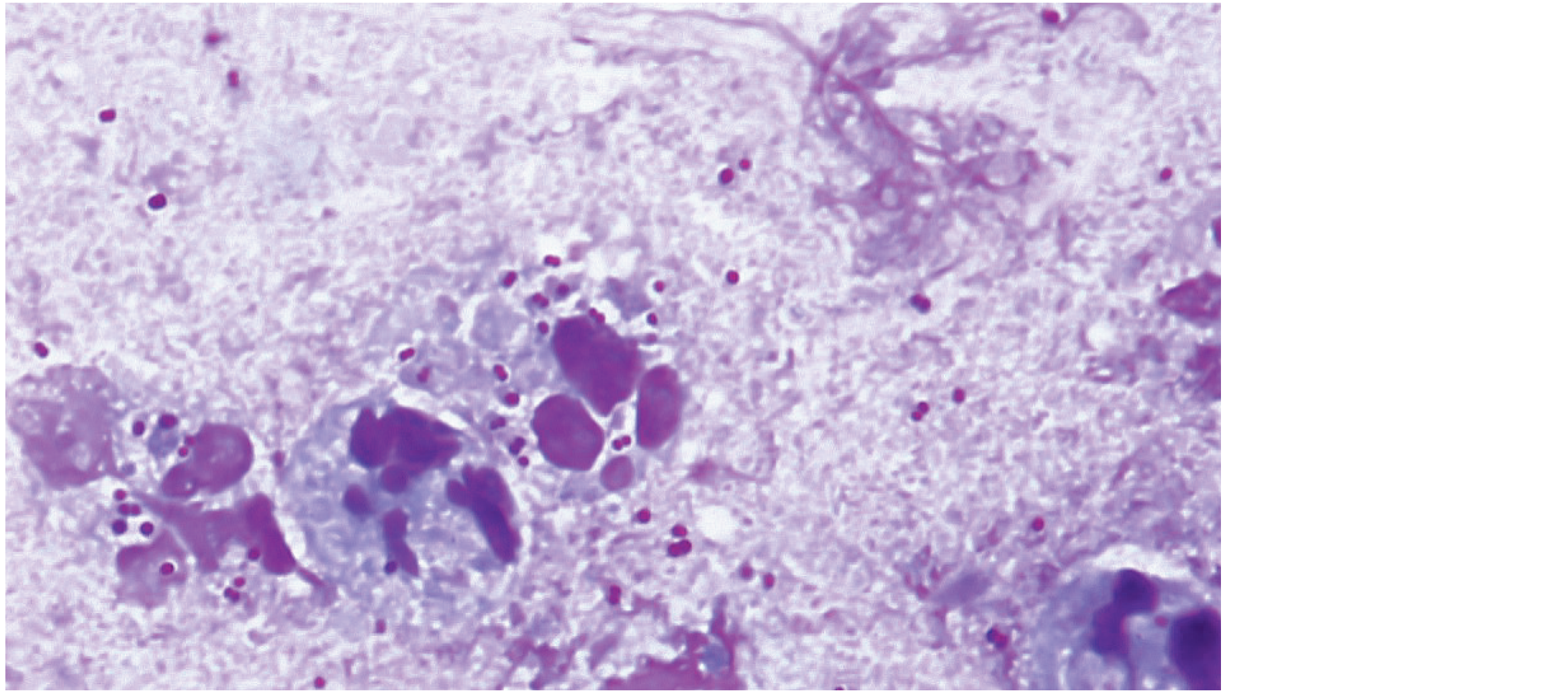
下気道感染症患者の喀痰のGram 染色標本を示す。分離菌は5% ヒツジ血液寒天培地およびチョコレート寒天培地に発育した。
推定されるのはどれか。
1.
Fusobacterium nucleatum
2.
Haemophilus influenzae
3.
Klebsiella pneumoniae
4.
Moraxella catarrhalis
5.
Pseudomonas aeruginosa
前へ
解答を見る
次へ