さん
MyPage
ログアウト
使い方ガイド
共通資料
マイページ
金原出版オンライントップ
ログアウト
購入
臨検国試onlineトップへ
出題年別トップへ
一覧へ戻る
2020年(第66回)
ID 2020057
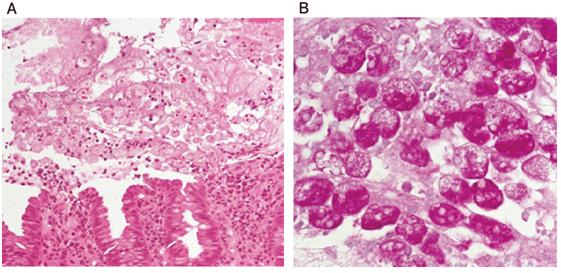
H-E染色標本(図A)とPAS 染色標本(図B)を示す。
病原微生物はどれか。
1. 赤痢アメーバ
2. トリコモナス
3. アスペルギルス
4. クリプトコッカス
5. ヘリコバクター・ピロリ
前へ
解答を見る
次へ