さん
MyPage
ログアウト
使い方ガイド
共通資料
マイページ
金原出版オンライントップ
ログアウト
購入
臨検国試onlineトップへ
出題年別トップへ
一覧へ戻る
2020年(第66回)
ID 2020070
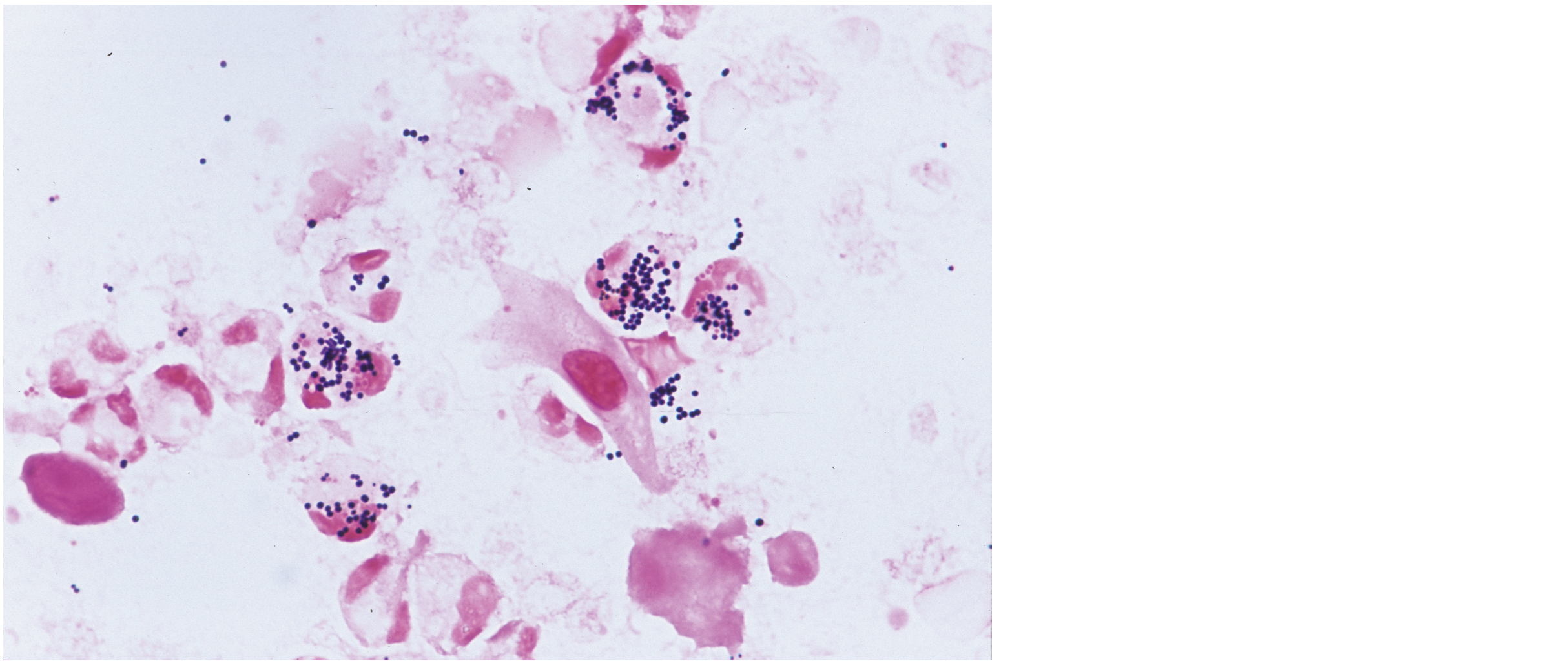
膿のGram染色標本を示す。分離菌はヒツジ血液寒天培地およびBTB乳糖寒天培地に発育し,カタラーゼ試験は陽性でマンニトールを分解した。推定される菌種はどれか。
1.
Enterococcus faecalis
2.
Staphylococcus aureus
3.
Staphylococcus epidermidis
4.
Streptococcus agalactiae
5.
Streptococcus pyogenes
前へ
解答を見る
次へ