2020年(第66回)

ID 2020145  

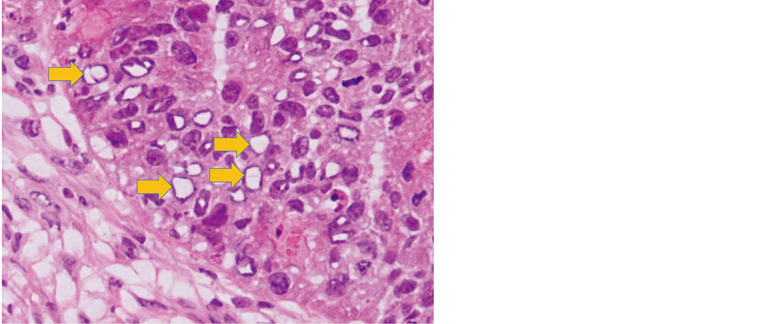
術中迅速組織標本を示す。
矢印で示す現象が生じた工程はどれか。

  • 1. 組織採取
  • 2. 凍 結
  • 3. 薄 切
  • 4. 固 定
  • 5. 染 色
Copyright© KANEHARA & Co., LTD. All Rights Reserved.