さん
MyPage
ログアウト
使い方ガイド
共通資料
マイページ
金原出版オンライントップ
ログアウト
購入
臨検国試onlineトップへ
出題年別トップへ
一覧へ戻る
2020年(第66回)
ID 2020150
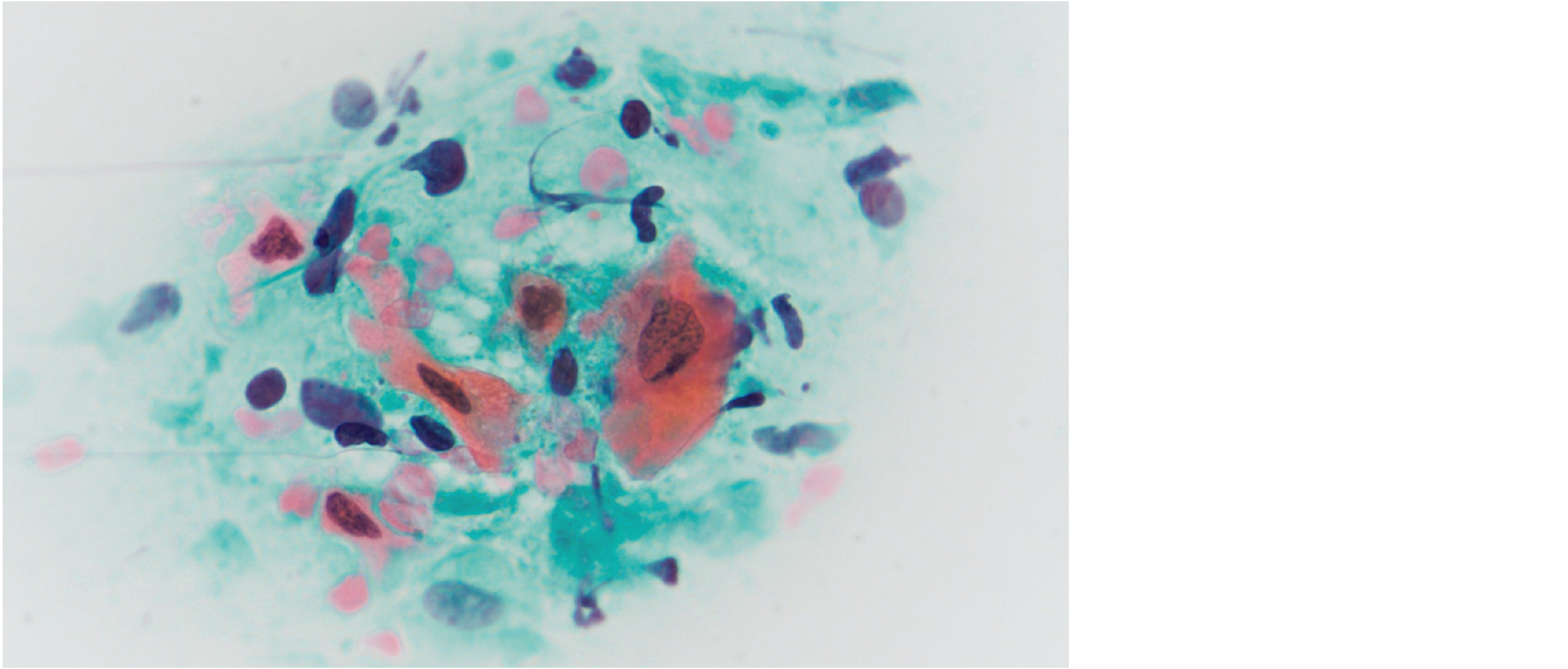
子宮頸部細胞診のPapanicolaou染色標本を示す。
考えられるのはどれか。
1. 腺 癌
2. 扁平上皮癌
3. 腟カンジダ症
4. ヘルペス感染症
5. トリコモナス腟炎
前へ
解答を見る
次へ