さん
MyPage
ログアウト
使い方ガイド
共通資料
マイページ
金原出版オンライントップ
ログアウト
購入
臨検国試onlineトップへ
出題年別トップへ
一覧へ戻る
2021年(第67回)
ID 2021047
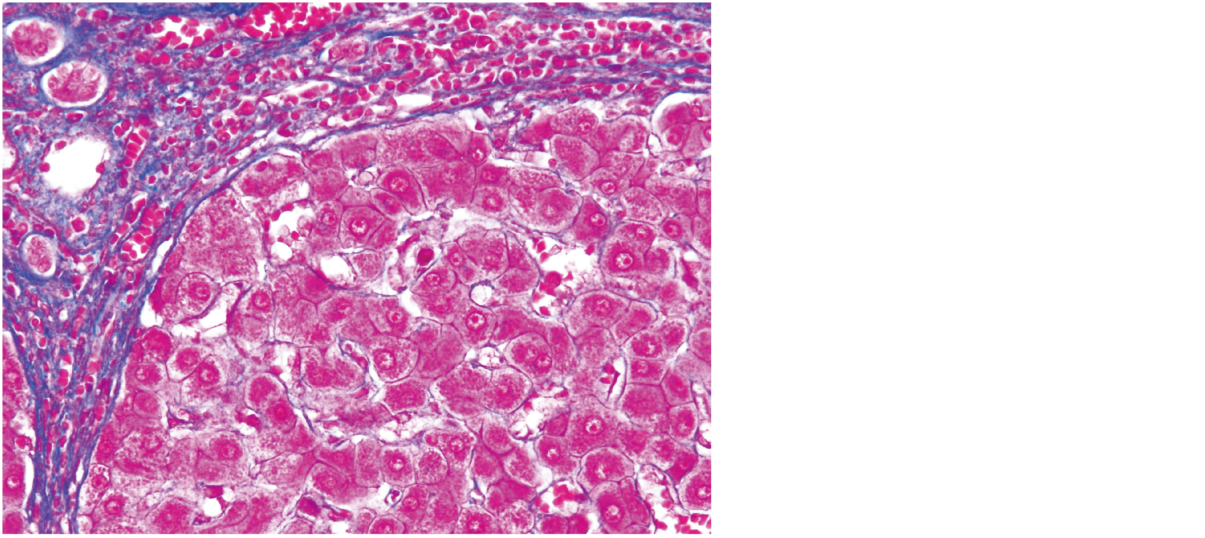
肝臓の特殊染色標本を示す。
染色はどれか。
1. azan染色
2. oil red O染色
3. Victoria blue染色
4. toluidine blue染色
5. Masson trichrome染色
前へ
解答を見る
次へ