さん
MyPage
ログアウト
使い方ガイド
共通資料
マイページ
金原出版オンライントップ
ログアウト
購入
臨検国試onlineトップへ
出題年別トップへ
一覧へ戻る
2021年(第67回)
ID 2021067
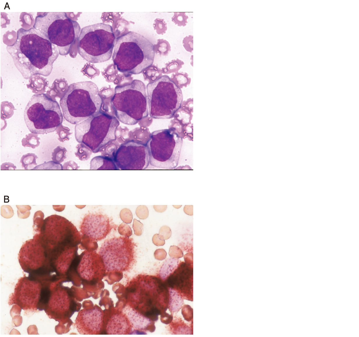
末梢血のWright-Giemsa 染色標本(図A)とエステラーゼ二重染色標本(図B)を示す。
最も考えられるのはどれか。
1. 急性赤白血病
2. 急性単球性白血病
3. 急性巨核芽球性白血病
4. 急性前骨髄球性白血病
5. 急性リンパ芽球性白血病
前へ
解答を見る
次へ