さん
MyPage
ログアウト
使い方ガイド
共通資料
マイページ
金原出版オンライントップ
ログアウト
購入
臨検国試onlineトップへ
出題年別トップへ
一覧へ戻る
2021年(第67回)
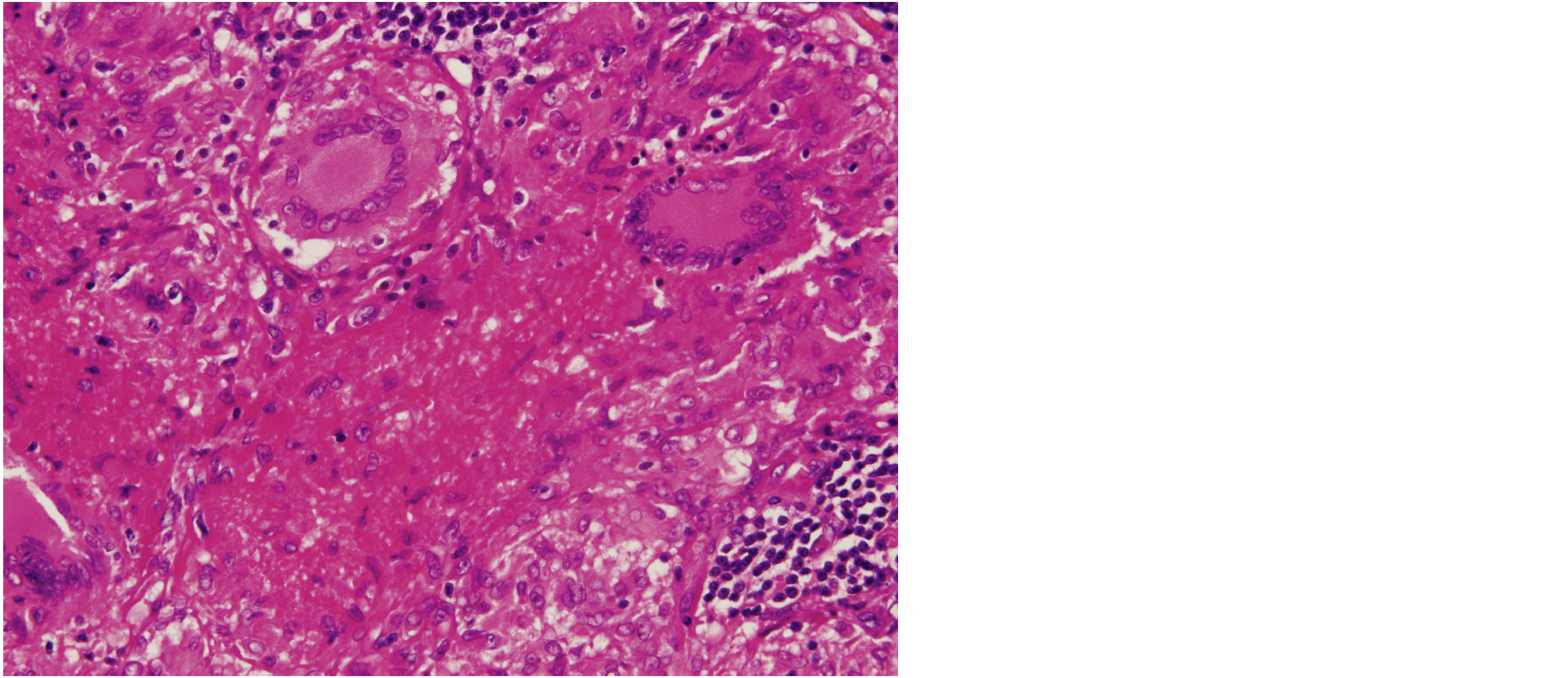
ID 2021149
H-E 染色標本を示す。
炎症の種類はどれか。
1. 化膿性炎
2. 出血性炎
3. 漿液性炎
4. カタル性炎
5. 肉芽腫性炎
前へ
解答を見る
次へ