さん
MyPage
ログアウト
使い方ガイド
共通資料
マイページ
金原出版オンライントップ
ログアウト
購入
臨検国試onlineトップへ
出題年別トップへ
一覧へ戻る
2022年(第68回)
ID 2022047
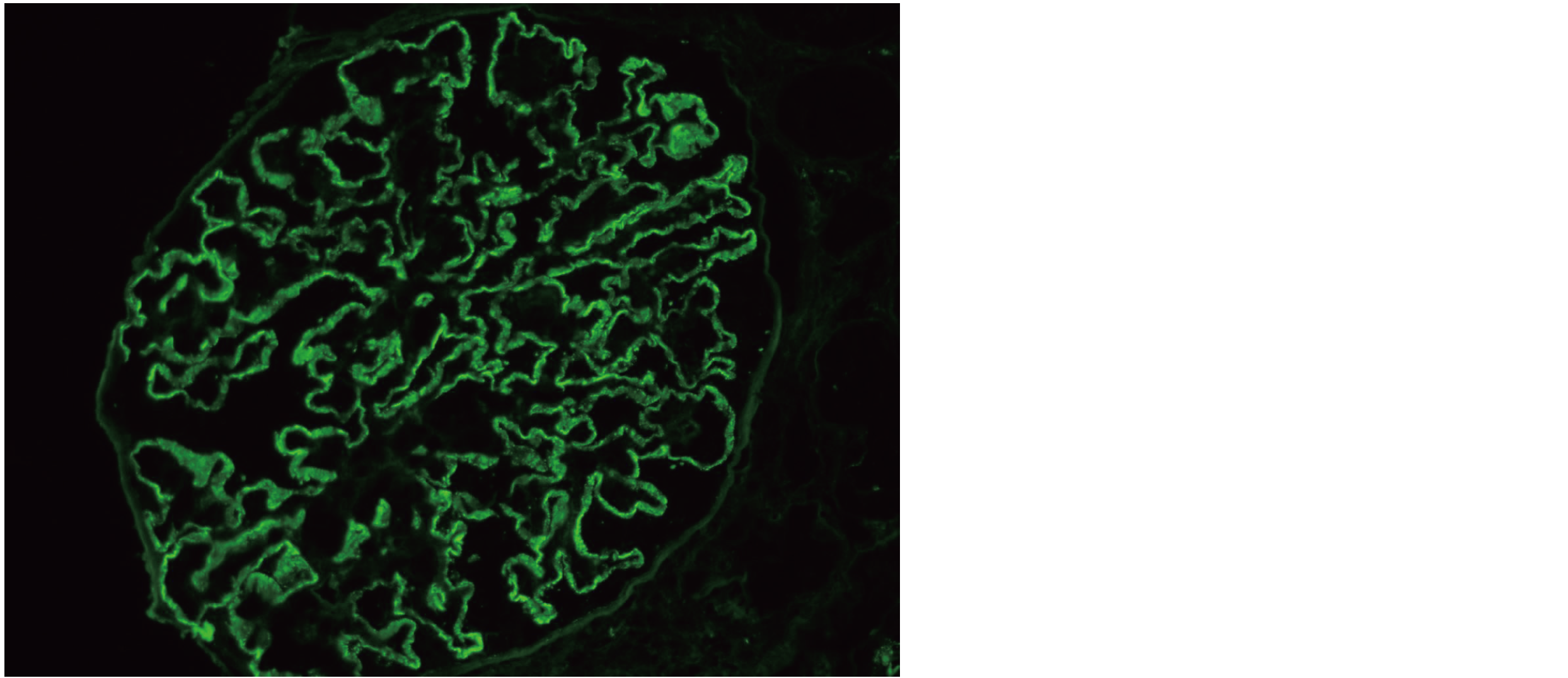
腎組織の未固定凍結切片を用いた免疫組織化学染色を示す。
この染色法について正しいのはどれか。
1. 加熱処理を行う。
2. 発色反応操作を行う。
3. 偏光顕微鏡で観察する。
4. 内因性ペルオキシダーゼをブロックする。
5. フルオレセインイソチオシアネート〈FITC〉標識抗体を使用する。
前へ
解答を見る
次へ