さん
MyPage
ログアウト
使い方ガイド
共通資料
マイページ
金原出版オンライントップ
ログアウト
購入
臨検国試onlineトップへ
出題年別トップへ
一覧へ戻る
2022年(第68回)
ID 2022074
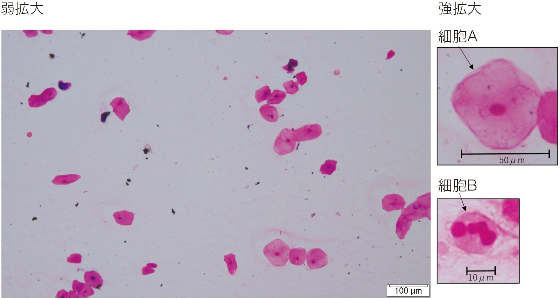
喀痰のGram染色標本を示す。顕微鏡による観察で,図中の細胞Aを48個/100倍1視野,細胞Bを5個/100倍1視野認めた。
該当するGeckler分類はどれか。
1. Geckler 1群
2. Geckler 2群
3. Geckler 3群
4. Geckler 4群
5. Geckler 5群
前へ
解答を見る
次へ