2022年(第68回)

ID 2022168  

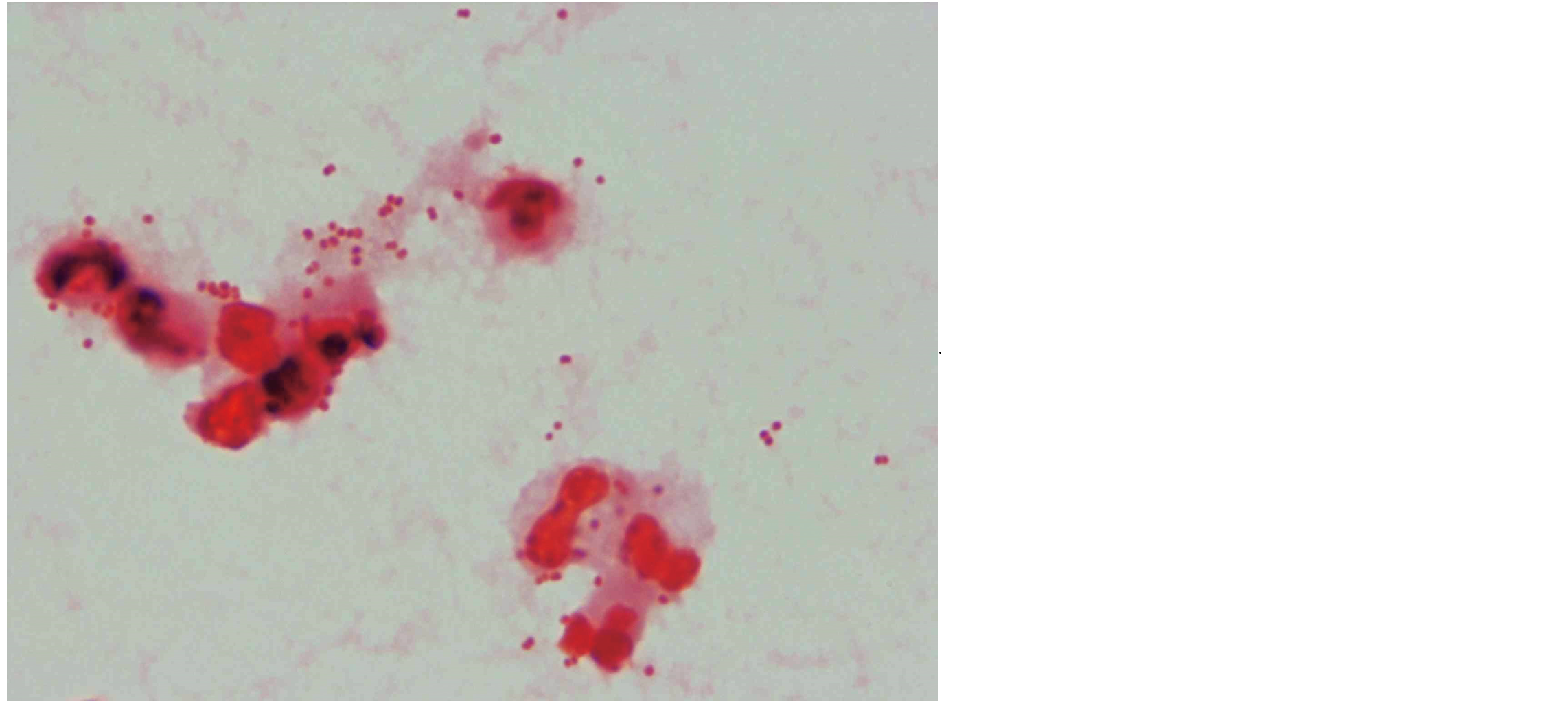
髄液のGiemsa染色標本を示す。分離菌はヒツジ血液寒天培地に発育し,グルコース及びマルトースを分解した。
推定されるのはどれか。

  • 1. Haemophilus influenzae
  • 2. Moraxella catarrhalis
  • 3. Neisseria meningitidis
  • 4. Neisseria gonorrhoeae
  • 5. Pseudomonas aeruginosa
Copyright© KANEHARA & Co., LTD. All Rights Reserved.