2023年(第69回)

ID 2023048  

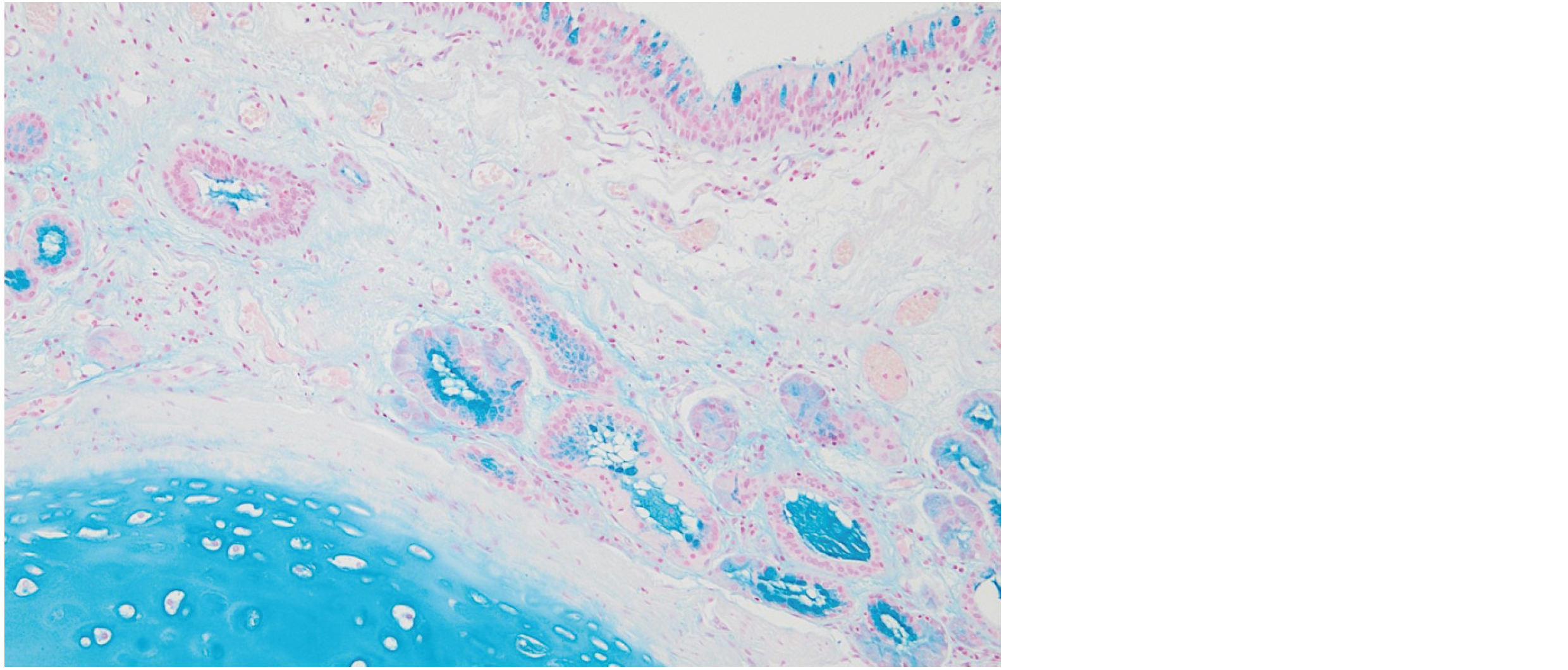
気管支の特殊染色標本を示す。
染色法はどれか。

  • 1. Nile blue 染色
  • 2. Berlin blue染色
  • 3. Alcian blue染色
  • 4. Victoria blue染色
  • 5. toluidine blue染色
Copyright© KANEHARA & Co., LTD. All Rights Reserved.