2023年(第69回)

ID 2023076  

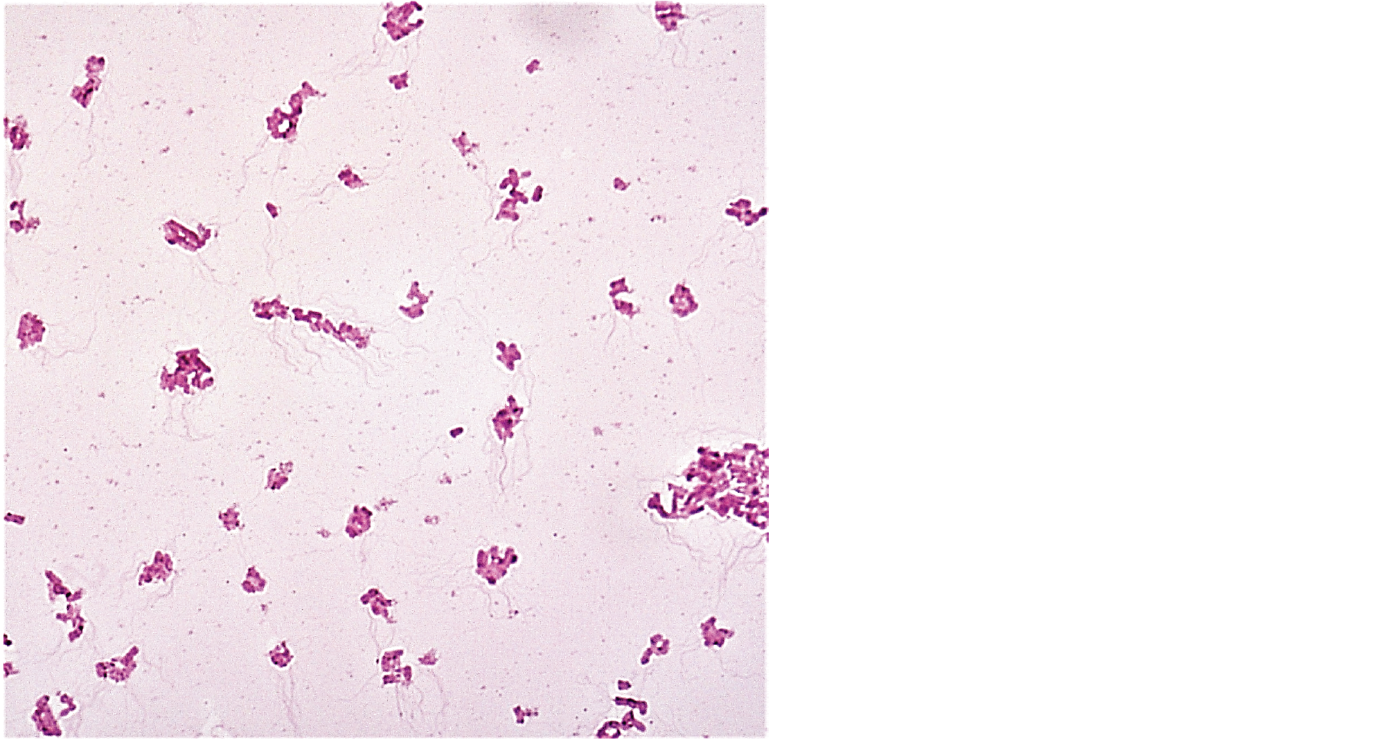
ハートインフュージョンブイヨンで培養した菌の染色標本を示す。
染色法はどれか。

  • 1. Giménez染色
  • 2. Hiss法
  • 3. Leifson法
  • 4. Neisser法
  • 5. Wirtz法
Copyright© KANEHARA & Co., LTD. All Rights Reserved.