2024年(第70回)

ID 2024025  

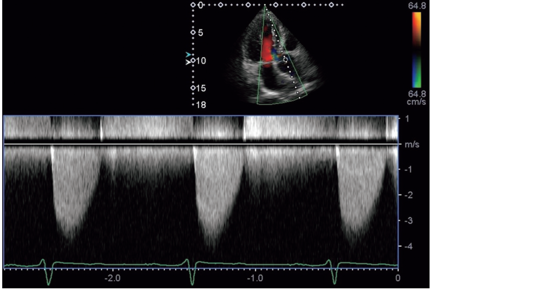
心尖部長軸断面の連続波ドプラ波形を示す。
狭窄前後の最大圧較差はどれか。

  • 1. 16 mmHg
  • 2. 32 mmHg
  • 3. 64 mmHg
  • 4. 80 mmHg
  • 5. 96 mmHg
Copyright© KANEHARA & Co., LTD. All Rights Reserved.