さん
MyPage
ログアウト
使い方ガイド
共通資料
マイページ
金原出版オンライントップ
ログアウト
購入
臨検国試onlineトップへ
出題年別トップへ
一覧へ戻る
2024年(第70回)
ID 2024026
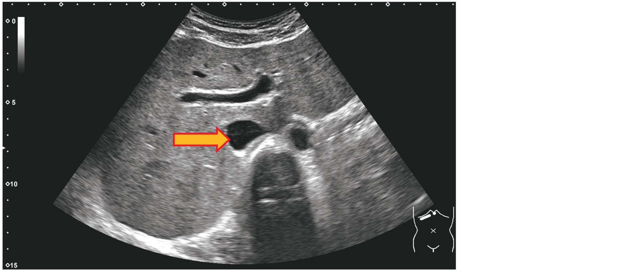
心窩部斜走査による上腹部の超音波像を示す。
矢印で示すのはどれか。
1. 肝動脈
2. 大動脈
3. 下大静脈
4. 肝外胆管
5. 門脈本幹
前へ
解答を見る
次へ