2024年(第70回)

ID 2024049  

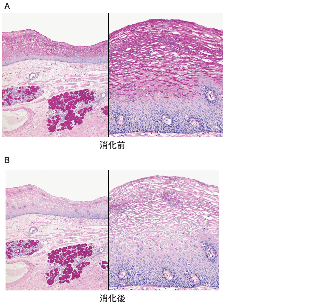
食道のPAS染色標本とα-アミラーゼ消化後のPAS染色標本を示す。
消化試験で同定されるのはどれか。

  • 1. 線維素
  • 2. 中性粘液
  • 3. アミロイド
  • 4. グリコーゲン
  • 5. リポフスチン
Copyright© KANEHARA & Co., LTD. All Rights Reserved.