さん
MyPage
ログアウト
使い方ガイド
共通資料
マイページ
金原出版オンライントップ
ログアウト
購入
臨検国試onlineトップへ
出題年別トップへ
一覧へ戻る
2024年(第70回)
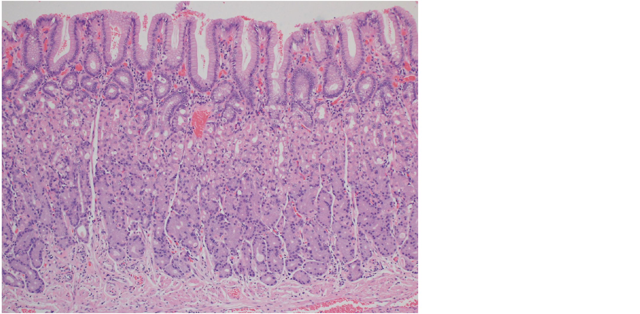
ID 2024154
H-E染色標本を示す。
この臓器はどれか。
1. 胃
2. 食 道
3. 大 腸
4. 肺
5. 膀 胱
前へ
解答を見る
次へ