さん
MyPage
ログアウト
使い方ガイド
共通資料
マイページ
金原出版オンライントップ
ログアウト
購入
臨検国試onlineトップへ
出題年別トップへ
一覧へ戻る
2025年(第71回)
ID 2025146
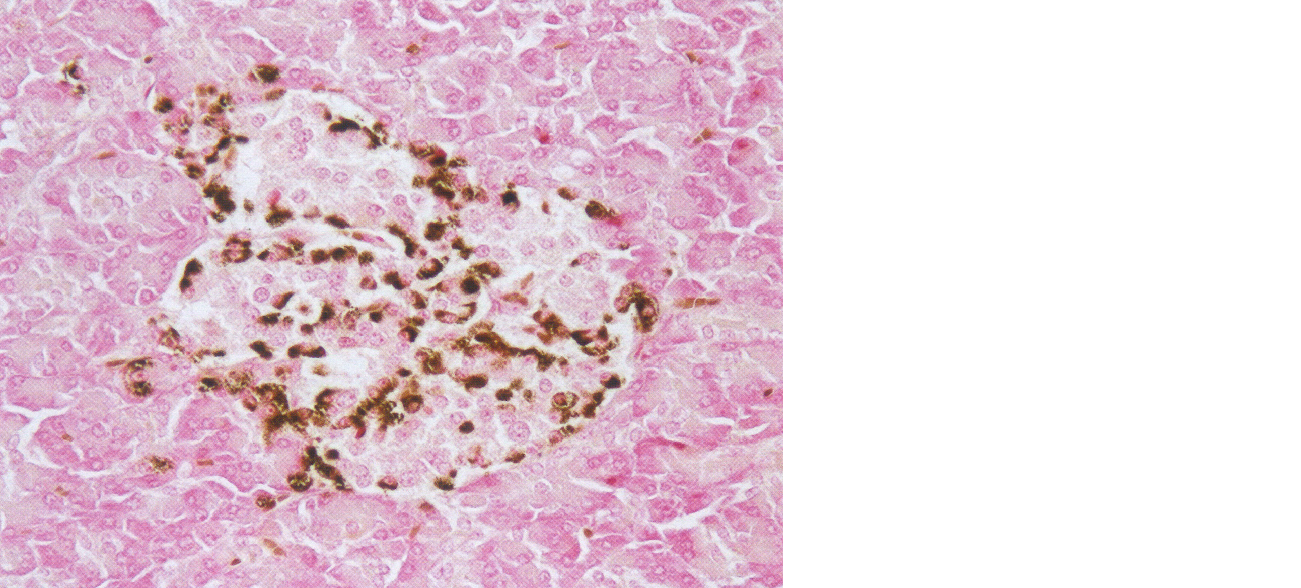
膵臓の特殊染色を示す。
染色法はどれか。
1. PAM染色
2. Bodian染色
3. Grimelius染色
4. Warthin-Starry染色
5. Masson-Fontana染色
前へ
解答を見る
次へ