さん
MyPage
ログアウト
使い方ガイド
共通資料
マイページ
金原出版オンライントップ
ログアウト
購入
臨検国試onlineトップへ
出題年別トップへ
一覧へ戻る
2025年(第71回)
ID 2025149
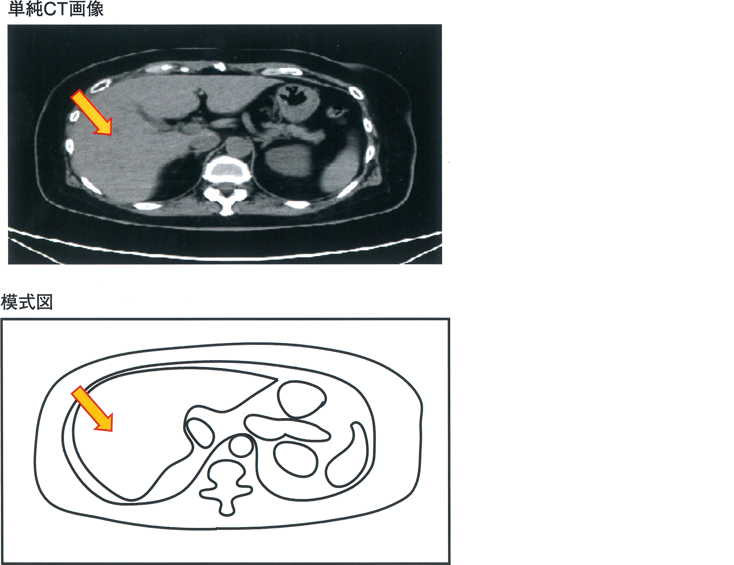
上腹部の単純CT画像(第12胸椎の高さの横断面)とその模式図を示す。
矢印で示す臓器はどれか。
1. 胃
2. 肝 臓
3. 心 臓
4. 脾 臓
5. 大動脈
前へ
解答を見る
次へ