さん
MyPage
ログアウト
使い方ガイド
共通資料
マイページ
金原出版オンライントップ
ログアウト
購入
臨検国試onlineトップへ
分野別トップへ
一覧へ戻る
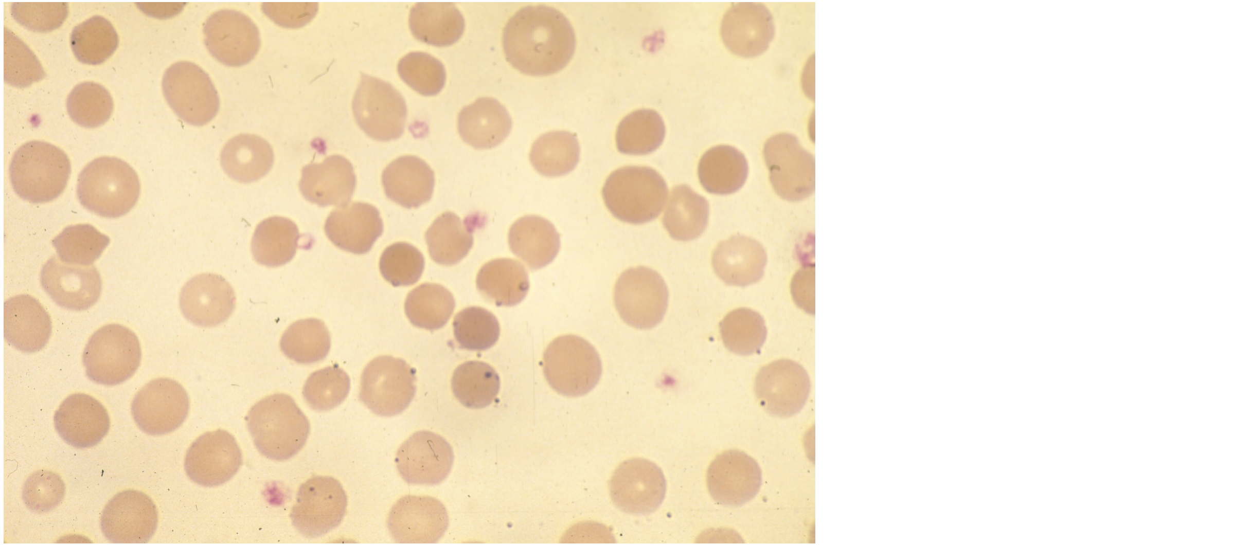
臨床血液学
(3.形 態)
ID 2020059
末梢血のMay-Giemsa 染色標本を示す。
この疾患で認められる検査所見はどれか。
1. 赤血球CD59 欠損
2. ADAMTS13活性著減
3. 赤血球浸透圧抵抗減弱
4. 血清βリポタンパク低値
5. ヘモグロビンS〈HbS〉陽性
前へ
解答を見る
次へ